Profesjonalne wybielanie zębów Katowice

Profesjonalne wybielanie zębów Katowice

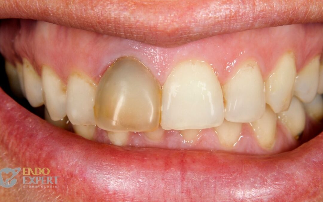
Profesjonalne wybielanie zębów Katowice – rozświetl swój uśmiech z innowacyjnym systemem BlancOne® w Endoexpert! Śnieżnobiały, promienny uśmiech to nie tylko kwestia estetyki, ale również ogromny atut w życiu prywatnym i zawodowym. Dodaje pewności siebie, odmładza...
Dentofobia – jak skutecznie zwalczyć lęk

Dentofobia – jak skutecznie zwalczyć lęk

Dentofobia – jak skutecznie zwalczyć lęk przed leczeniem stomatologicznym? Dentofobia to problem, który dotyka coraz większej liczby pacjentów, niezależnie od wieku. Lęk pacjenta przed wizytą u dentysty bywa tak silny, że prowadzi do wieloletnich zaniedbań i...

Łukasz Kwolek - ZnanyLekarz.pl

698 36 11 36
MediRaty